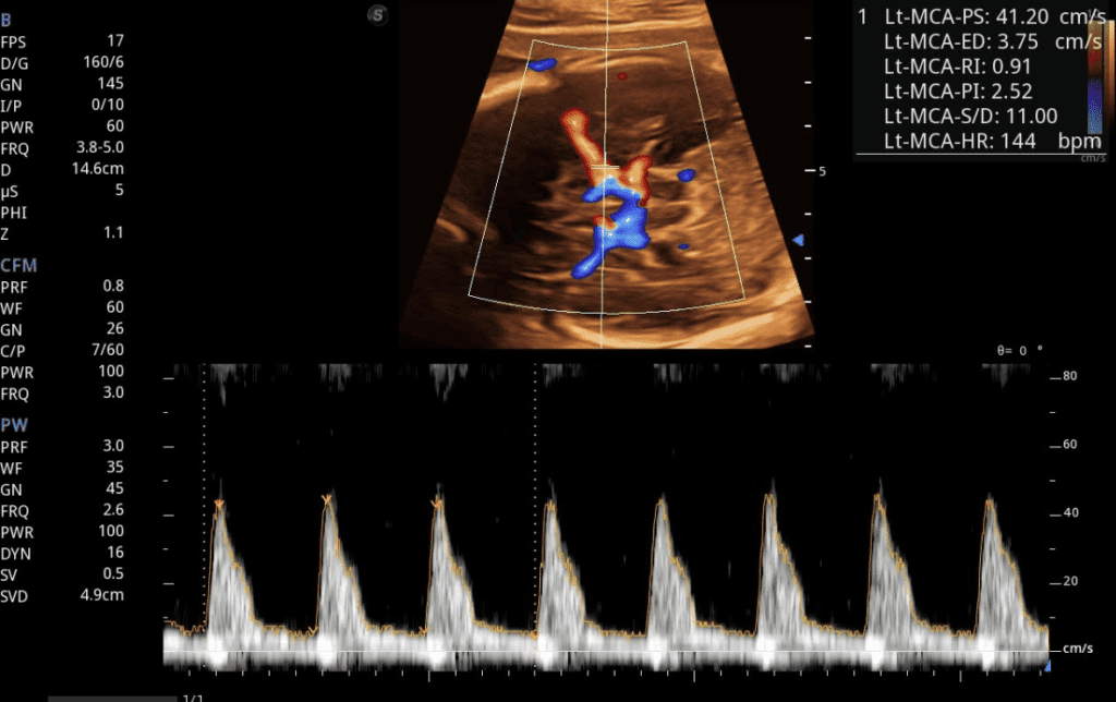
Estudios Doppler: Evaluación Precisa del Flujo Sanguíneo
En Ecomedicc contamos con tecnología Doppler de última generación para evaluar el flujo sanguíneo en arterias y venas de todo el cuerpo. El Doppler es una técnica no invasiva que utiliza ondas de ultrasonido para detectar problemas circulatorios, obstrucciones vasculares y evaluar la salud cardiovascular con precisión y seguridad.
Ventajas de realizar tu Estudio
- Evaluación no invasiva del sistema vascular
- Detección temprana de problemas circulatorios
- Monitoreo del flujo sanguíneo en tiempo real
- Tecnología de alta resolución y precisión
- Estudios especializados para embarazo y circulación periférica
- Personal médico especializado en estudios vasculares
Nuestros Estudios Doppler Especializados
Ofrecemos una amplia gama de estudios Doppler diseñados para evaluar diferentes sistemas vasculares y proporcionar diagnósticos precisos para tu salud cardiovascular.
Doppler Fetal
Evalúa el flujo sanguíneo del bebé durante el embarazo, monitoreando la circulación umbilical y cerebral para detectar posibles complicaciones y asegurar el bienestar fetal.
Disponible
Doppler Placentario
Examina el flujo sanguíneo en la placenta y cordón umbilical, fundamental para detectar insuficiencia placentaria y garantizar la correcta nutrición del bebé.
Disponible
Doppler Arterias Uterinas
Evalúa el flujo en las arterias uterinas para predecir riesgo de preeclampsia, restricción del crecimiento fetal y otras complicaciones del embarazo.
Disponible
Perfil Hemodinámico
Estudio completo del flujo sanguíneo fetal que incluye arteria umbilical, cerebral media y ductus venoso para una evaluación integral del bienestar fetal.
Disponible
Doppler Carotídeo y Vertebral
Evalúa el flujo sanguíneo en las arterias del cuello que irrigan el cerebro, detectando estenosis, placas ateromatosas y riesgo de accidente cerebrovascular.
Disponible
Doppler Renal
Examina el flujo sanguíneo en las arterias y venas renales, útil para diagnosticar hipertensión renovascular, estenosis de arteria renal y problemas de trasplante.
Disponible
Doppler Aórtico
Evalúa la aorta abdominal y torácica para detectar aneurismas, disecciones, estenosis y otras patologías de la arteria principal del cuerpo.
Disponible
Doppler Arterial y Venoso - Miembros Superiores
Evalúa la circulación arterial y venosa de los brazos, detectando trombosis venosa profunda, obstrucciones arteriales y problemas circulatorios en extremidades superiores.
Disponible
Doppler Arterial y Venoso - Miembros Inferiores
Examina la circulación de las piernas para diagnosticar trombosis venosa profunda, insuficiencia venosa, enfermedad arterial periférica y várices.
Disponible
Doppler Testicular
Estudio que evalúa el flujo sanguíneo de los testículos y del cordón espermático, permitiendo diagnosticar varicocele, torsión testicular, inflamaciones o alteraciones que puedan afectar la fertilidad masculina. Es un examen no invasivo y de gran precisión diagnóstica.
Disponible
